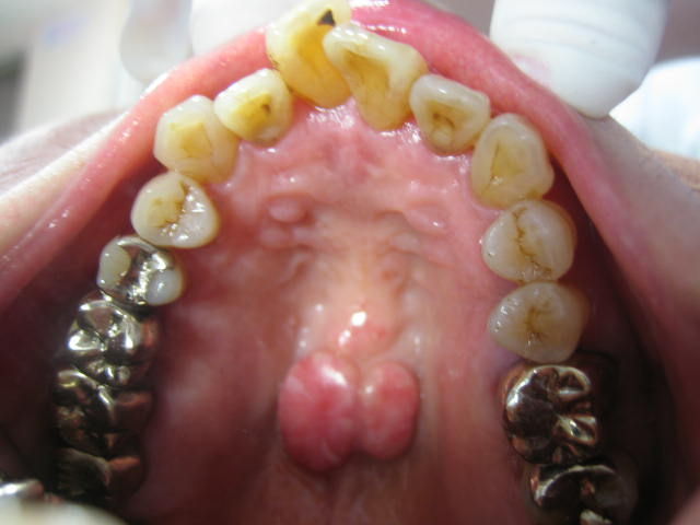
骨隆起と口腔がんの見分け方を教えてください。 - 骨隆起みたいな白
歯茎にこぶのようなものができていませんか?それは骨隆起かもしれませ 
骨隆起は「ストレスが原因」かも。自然に治る?治療はしなくてもいいの 
十二起骨-天庭骨A-GATE.com 三萬多天的旅行
骨隆起と口腔がんの見分け方を教えてください。 - 骨隆起みたいな白
额头突出面相代表什么,代表着人一生的基本命运! Nestia
骨隆起 : 世田谷区千歳船橋、桜丘で開業している村田歯科診療日記
骨隆起 津市 とも歯科 一般歯科・小児歯科・矯正歯科
杨幂和刘亦菲的骨相差别在哪?为什么张柏芝这样的经典美人都是骨相美?
侧脑骨隆起,富贵相! 有别于耳根骨的位置,侧脑骨位于耳尖上边头骨的
骨隆起。 | ハーモニー歯科こども歯科-公式サイト
佝偻病的罪魁祸首是缺乏维生素D,儿童佝偻病应该怎么治疗?
Tags:
archive